¿Qué es el Pie de Astrágalo?
Lorem ipsum dolor sit amet, consectetur adipiscing elit. Ut elit tellus, luctus nec ullamcorper mattis, pulvinar dapibus leo.
¿Es muy común?
El os-trigonum es un hueso accesorio, probablemente derivado de un centro de osificación secundario de la cola del astrágalo. Si no se fusiona al resto del astrágalo, durante la maduración esquelética, se ve como un hueso o sesamoideo independiente y puede, como una fractura de la cola del astrágalo, comprometer e irritar la zona posterior del tobillo.
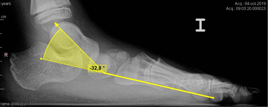
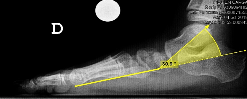
La primera técnica de imagen debe ser la radiografía convencional. Estas pueden objetivar un “os trigonum”, un proceso posterior del astrágalo hipertrófico, una fractura o una pseudoartrosis de la cola del astrágalo.
La RMN es la técnica más empleada para diagnosticar la sinovitis, fibrosis u otras formas de pinzamiento de partes blandas. Permite descartar la existencia de lesiones osteoncondrales del astrágalo, las lesiones de ligamentos o las tenosinovitis o tendinopatías de los tendones adyacentes, como la tendinopatía del flexor largo del primer dedo (hallux), que discurre entre las dos prominencias óseas del astrágalo.
La Ecografía, si se dispone de equipos de alta resolución, va ganando terreno en las consultas de los especialistas y permite hacer un estudio en la propia consulta, comparar con el lado sano y un control evolutivo de las lesiones. Además permite hacer infiltraciones diagnósticas o para tratamiento con precisión milimétrica.
En ocasiones, otras pruebas como la electromiografía (EMG) o los bloqueos selectivos ecoguiados permitirán descartar atrapamientos del nervio tibial posterior asociados u otras alteraciones.
¿Por qué se produce?
¿Qué dolores produce?
Las fracturas de astrágalo producen dolor y tumefacción en la zona del tobillo, con dificultad para cargar peso sobre el pie, que aparecen tras un traumatismo de alta energía. Generalmente, el rango de movilidad del tobillo está limitado. La palpación de las prominencias óseas del astrágalo refleja dolor en la zona fracturada.
Las fracturas del receso lateral, típicas de esquiadores de snowboard, pueden parecerse más a un esguince de tobillo, y con frecuencia se confunden.
